FREE General Surgery Board Review Questions and Answers
FREE General Surgery Board Review 2026. Access 14+ online questions and answers across 2 practice quizzes to help you pass your boards. [Updated March

You are seeing a patient in the emergency department who banged his head after falling while skiing. He lost consciousness, according to his buddies who were with him, and they brought him to the lodge while dialing 911. He "woke up" while traveling to the hospital and briefly appeared to be in good health, but he is now unresponsive once more.
Which vessel is typically at fault given the diagnosis you suspect?
Explanation:
Epidural hematoma is most likely given the history of a head injury, loss of consciousness, lucidity, and subsequent decompensation. The middle meningeal artery is the vessel that is most frequently implicated in epidural hematomas, and hematoma evacuation is recommended. Because the blood lies between the dura and the skull, a biconvex-shaped hemorrhage is frequently seen on imaging. A deadly epidural hemorrhage can occur in up to 20% of cases. On imaging, subdural hematomas have a crescent-shaped appearance and hardly ever feature the typical epidural "lucid period." Instead, they experience agony and bewilderment that worsen with time. Bleeds from subdural hematomas are caused by the bridging veins.
The inhaled anesthetic you intend to employ has an extremely high MAC. High minimum alveolar concentration (MAC) anesthetics typically:
Explanation:
The MAC is the lowest amount of anesthetic vapor required to inhibit a physical response in 50% of patients to a common surgical stimulus. Less fat soluble, less powerful, yet faster onset with higher MAC. (xanax) More lipid soluble, more powerful, but longer onset, when MAC is lower. This little story, which goes, "When MAC is LOW he is FAT and SLOW," is a helpful method to memorize it. Typical MAC values include: 104 Nitrous oxide * Halothane - 0.75 * Chloroform - 0.5 * Methoxyflurane - 0.16 * Xenon - 72 * Desflurane - 6 * Ethyl Ether - 3.2 * Sevoflurane - 2 * Enflurane - 1.7 * Isoflurane - 1.2 *
A 73-year-old man arrives at the hospital after falling while hanging Christmas lights on his roof. He claims to be experiencing right-side chest pain and shortness of breath. His right breath sounds have significantly decreased, according to a physical examination. The moment you insert a chest tube on the right, 850ml of blood start to flow back.
Which course of action in his management is best
Explanation:
Keep the tube suctioned while gauging the output. Hemothorax typically results in diminished ipsilateral breath sounds and muted percussion on that side. The pleural cavity of a typical adult male can retain 4 or more liters of blood, therefore exsanguination can happen even in the absence of any other outward signs of bleeding. The instantaneous return of 1500 ml would have been a sign of OR. Indications for exploratory surgery include bleeding with instability after all other causes of bleeding have been ruled out, output >250 mL/hour x 4 hours, or 2500 mL/24 hours.
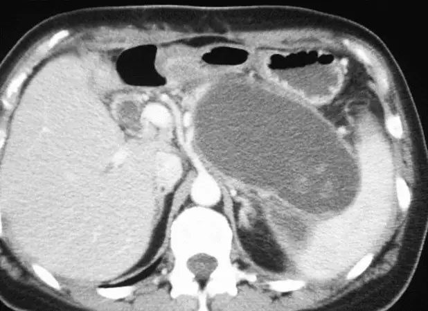
How many cases of the diagnostic depicted in the illustration involve the pancreatic head?
Explanation:
The head of the pancreas hosts around one-third of the pancreatic pseudocysts, while the tail hosts two-thirds of them. The most frequent causes in adults are alcohol and gallstone pancreatitis, whereas the most frequent cause in children is trauma .
The below-shown diagnosis's most frequent life-threatening consequence is?
Explanation:
This is a Zenker’s diverticulum. All of the options listed are possible life-threatening complications, but the most common is aspiration.
You are visiting a patient in the SICU whose attempt to wean off the ventilator has been unsuccessful for the previous three days. The patient has a history of trauma, is tube-fed, and has been on a ventilator for ten days. In order to determine a respiratory quotient, you choose to order a metabolic cart (RQ). This patient has an RQ of 1.45. You advise the nutritionist that he requires:
Explanation:
RQ=CO2/O2 By producing an overabundance of calories and carbs to be turned into fat, overfeeding might result in patients needing artificial breathing and intubation for a longer period of time. A RQ>1.0 would arise from this. This process results in an increase in CO2 generation, which must be offset by an increase in the patient's respiratory effort. As a result, the respiratory system might become so worn out that weaning becomes challenging or even impossible. Since oxygen consumption rises while the body is turning stored energy into sugar, starvation would result in an RQ 0.7. (breaking down glycogen, adipose tissues).
You are looking at a 34-year-old, 100-pound patient who has just been admitted. Both of her arms and her entire back, from the neck to the buttocks, are burned.
What IV fluids will be prescribed in your entrance orders?
Explanation:
The patient has burned 27% of her body (9% for arms, 9% for upper back , and 9% for lower back). Use the Parkland Formula (MEMORIZE THIS!!): 4mL x Weight in kg x % burned Replace fluid 4ml/kg x kg of pt x %burned, replace half over first 8 hours and the rest over the next 16. This should be calculated from time burned, not time of admission.
Military language students can prepare for English proficiency screening with our free ALCPT American Language Course Placement Test — covering listening comprehension and structure.
Our free TAPAS military personality assessment practice helps candidates understand the Tailored Adaptive Personality Assessment System used by the Army for enlistment decisions.
Navy Officer Candidate School applicants can prepare with our free OAR Officer Aptitude Rating practice test — covering math skills, reading comprehension, and mechanical comprehension.
Research compliance professionals also prepare with our PMP practice test 2026 to reinforce regulatory governance and project oversight principles.
General Surgery Board Review Practice Test Questions
Prepare for the General Surgery Board Review exam with our free practice test modules. Each quiz covers key topics to help you pass on your first try.
General Surgery Board Review MCQ
General Surgery Board Review Exam Questions covering MCQ. Master General Surgery Board Review Test concepts for certification prep.
Start FREE TestGeneral Surgery Board Review Surgical Foun...
Free General Surgery Board Review Practice Test featuring Surgical Foundation. Improve your General Surgery Board Review Exam score with mock test prep.
Start FREE TestGeneral Surgery Board Review Questions and Answers
About the Author
Certified Professional Development Expert & Niche Certification Advisor
University of Pennsylvania Graduate School of EducationDr. Alexandra Kim holds a PhD in Professional Studies from the University of Pennsylvania and is a Certified Professional in Learning and Performance (CPLP) and Certified Professional in Talent Development (CPTD). With 17 years of corporate training and professional certification advisory experience, she helps professionals navigate specialized, emerging, and cross-industry certification programs.